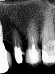
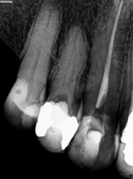
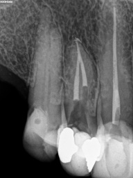
A localização de canais atresiados e ou calcificados se torna necessária com o uso da microscopia opereatória, quando o tratamento de canal é dificultado pela diminuição do espaço interno interno do dente, que normalmente é preenchido por tecido pulpar (polpa do dente), que por sua vez é formado por vasos sanguíneos e celulas nervosas e formadoras de dentina.
Em dentes de pessoas jovens, o canal é largo (amplo), com o decorrer do tempo e o envelhecimento natural, os canais vão diminuindo a sua luz ( o espaço interno ), tanto pela deposição continua de dentina, quanto por influências do meio externo, como trauma oclusal, caries, restaurações, e outros, com tudo isso, pode ocorrer desse espaço interno do dente ficar muito estreito (atresiado) ou até sumir por completo, ou seja completamente calcificado, quando chega nessa situação, é necessário o trabalho do endodontista para a localização dos canais calcificados e ou atresiados, limpeza e obturação com material indicado em cada caso.
Nos dias de hoje, existem técnicas e equipamentos que ajudam o profissional a conseguir o melhor resultados nessas situações, e uma delas é o uso do microscópio, que ajuda na localização das entradas dos canais atresiados e calcificados com maior precisão e segurança para o paciente.
Veja também em nosso post anterior, temas como, remoção de limas fraturadas com auxílio da microscopia, como solucionar com segurança esse problema.


