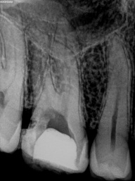
Atualmente são várias as técnicas para a remoção de instrumentos fraturados no canal, e é fundamental que o Endodontista conheça todas elas, pois cada caso uma determinada técnica pode funcionar em detrimento das outras.
Na remoção de qualquer tipo de instrumento fraturado no canal é muito importante primeiramente o domínio da técnica empregada para removê-lo, ter todos os equipamentos em mãos, sendo fundamental o microscópio operatório e ultrassom com pontas especificas para o trabalho em questão.
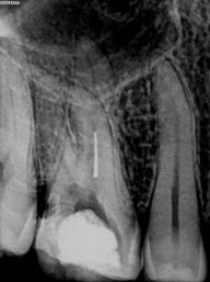
O Microscópio favorece a obtenção de sucesso na remoção de instrumentos fraturados dentro do canal pois amplifica o campo de visão, aumenta a luminosidade proporcionando precisão no trabalho do profissional, evitando desgastes excessivos na raiz e até mesmo uma perfuração e perda do dente, o uso desse equipamento é fundamental para sucesso do trabalho.
O segundo equipamento mais importante é o Ultrassom, com uma grande eficiência na remoção de instrumentos fraturados dentro do canal, desde que o profissional consiga posiciona- lo corretamente em cada caso de fratura específico, a fim de direcionar corretamente a pota ultrassônica sobre o instrumento fraturado.
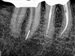
O instrumento Ultrassônico específico escolhido deve ter um comprimento que alcance a obstrução e um diâmetro pequeno o bastante para fornecer visão direta no instrumento fraturado. Esta ponta de inserção é colocada contra a cabeça do seguimento fraturado no interior do canal, ativada e movida na direção anti-horária em torno da obstrução. Esse trabalho ultra-sônico utiliza o Stropko Irrigador (stropko.com) com uma cânula luer-lock de 29 ga(Ultradent Producs) para fornecer uma corrente contolada de ar, que serve para soprar a apoeira dentinária e manter a visão contínua.
O objetivo deste método ultra-sônico é trefinar, lixar a dentina e expor 2 a 3 mm do aspecto mais coronário da obstrução, ou cerca de um terço de seu comprimento total. Algumas gotas de uma solução de 17% de EDTA são pingadas no canal e servem como um adjuvante de remoção potente ao colocar uma ponta energizada contra a cabeça de um segmento de lima quebrado. Clinicamente, depois de criar uma plataforma de preparo e expor a cabeça de um segmento de lima quebrado, colocar gentilmente a ponta energizada entre a lima afunilada e a parede do canal afunilado muitas vezes faz com que o instrumento quebrado se solte, desenrosque e saia do canal. No entanto, procedimentos ultra-sônicos podem não ser bem-sucedidos e, nesses casos, um método de remoção secundária será necessário.
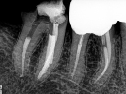
Veja também esse caso complexo de remoção de pino em um canal calcificado.



