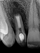
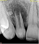
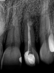
Perfurações dentarias são complicações no tratamento de canal que na maioria dos casos resulta em um prognóstico desfavorável, pois permite a entrada de microrganismos nos tecidos que envolvem o dente. Em alguns casos, devido ao seu difícil diagnóstico, acesso limitado, tempo decorrido ou tamanho da perfuração resultará em um desafio para o profissional conseguir um selamento adequado da área, sendo muito importante o conhecimento sobre o material que será empregado.







